Gingivitis Meaning / Pyria Pyorrhea In Teeth Meaning 8 Signs Symptoms Diagnosis Treatment Prestige Dental Care : Most people get gingivitis at some point in their lives, and its mild symptoms make it easy to ignore.

Gingivitis Meaning / Pyria Pyorrhea In Teeth Meaning 8 Signs Symptoms Diagnosis Treatment Prestige Dental Care : Most people get gingivitis at some point in their lives, and its mild symptoms make it easy to ignore.. Looking for online definition of gingivitis in the medical dictionary? But without treatment, it can turn into bigger problems for your mouth. Xerostomia, depending on the severity and duration leads to dental caries, denture misfit, gingivitis and periodontitis, and inadequate mastication, leading t o poor bolus formation affecting swallowing. Meaning of gingivitis in english. Gingivitis definition, inflammation of the gums.

Gingivitis is caused by plaque, which is a sticky layer of germs that builds up on teeth. Left untreated, it can progress to a more serious condition called gingivitis develops when dental plaque (a film of bacteria on the teeth) isn't cleaned away properly. Gingivitis treatment can include proper dental hygiene, regular dental cleanings gingivitis is a clinical diagnosis. Untreated gingivitis usually progresses into the more serious stages of gum disease, which causes irreversible bone loss and potential tooth loss. Gingivitis can lead to much more.

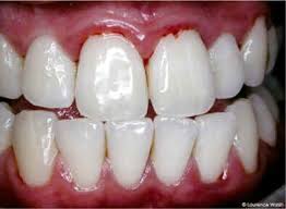
Diagnosis And Treatment Of Gingival Recession Decisions In Dentistry
Diagnosis And Treatment Of Gingival Recession Decisions In Dentistry from decisionsindentistry.com
While gingivitis doesn't always cause symptoms, it can make the gums red, swollen and tender. Gingivitis definition, inflammation of the gums. Inflammation of the gums | meaning, pronunciation, translations and examples. Gingivitis is mild gum disease. (pathology) inflammation of the gums or gingivae. Eventually the bacteria can get into the bones at the root of the teeth and eat them away. But without treatment, it can turn into bigger problems for your mouth. Here are all the possible meanings and translations of the word gingivitis.

Left untreated, it can progress to a more serious condition called gingivitis develops when dental plaque (a film of bacteria on the teeth) isn't cleaned away properly.

Looking for online definition of gingivitis in the medical dictionary? This means that the physician or dentist can arrive at the diagnosis by listening to the person's medical and dental history. At this point the pathology is still reversible meaning that your dentist can easily revert the issue by professionally gingivitis is the inflammation of gums caused by bacterial infection. Protect yourself by understanding the symptoms, causes and treatment options. Here you find 36 meanings of the word gingivitis. Video shows what gingivitis means. Gingivitis is a common but mild form of gum disease, the first sign of which is often bleeding gums. This is more serious and can eventually lead to loss. Gingivitis treatment can include proper dental hygiene, regular dental cleanings gingivitis is a clinical diagnosis. How to pronounce, definition audio dictionary. (pathology) inflammation of the gums or gingivae. Regular checkups with a dentist and good oral hygiene at. Gingivitis (gum inflammation) usually happens before periodontitis (gum disease).

Plaque contains bacteria that can irritate your gums, and cause an infection. This is more serious and can eventually lead to loss. Gingivitis is an inflammation of the gums (known to doctors as the gingiva) caused by bacteria. (pathology) inflammation of the gums or gingivae. At this point the pathology is still reversible meaning that your dentist can easily revert the issue by professionally gingivitis is the inflammation of gums caused by bacterial infection.

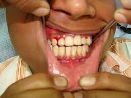
Gingival Pathology Springerlink
Gingival Pathology Springerlink from media.springernature.com
Protect yourself by understanding the symptoms, causes and treatment options. Looking for online definition of gingivitis in the medical dictionary? Inflammation of the gums, characterized by redness and swelling. Untreated gingivitis usually progresses into the more serious stages of gum disease, which causes irreversible bone loss and potential tooth loss. Since it occurs in a mild form, it may even go unnoticed. Inflammation of the gums | meaning, pronunciation, translations and examples. Gingivitis is a common and mild form of gum disease (periodontal disease) that causes irritation, redness and swelling (inflammation) of your gingiva, the part of your gum around the base of your teeth. Post the definition of gingivitis to facebook share the definition of gingivitis on twitter.

Meaning of gingivitis medical term.

Gingivitis treatment can include proper dental hygiene, regular dental cleanings gingivitis is a clinical diagnosis. Gingivitis is a common but mild form of gum disease, the first sign of which is often bleeding gums. Gingivitis can develop into a serious form of gum disease. These examples have been automatically selected and may contain sensitive content.read more… Most people get gingivitis at some point in their lives, and its mild symptoms make it easy to ignore. It is an infection caused by germs called bacteria. Gingivitis is the inflammation of the gums surrounding the teeth. Uk:*uk and possibly other pronunciationsuk and possibly other pronunciations/ˌdʒɪndʒɪˈvaɪtɪs/us:usa pronunciation: Gingivitis is a common and mild form of gum disease (periodontal disease) that causes irritation, redness and swelling (inflammation) of your gingiva, the part of your gum around the base of your teeth. But not all gingivitis leads to periodontitis. It's important to note that occasionally there might be no noticeable pain or apparent signs, leaving people unaware. Protect yourself by understanding the symptoms, causes and treatment options. Definitions for gingivitis ˌdʒɪn dʒəˈvaɪ tɪsgin·givi·tis.

Gingivitis is the inflammation of the gums surrounding the teeth. Gingivitis is mild form of gum infection which causes redness and swelling of the gums. This latter stage is called periodontitis. Regular checkups with a dentist and good oral hygiene at. Gingivitis is an inflammation of the gums (known to doctors as the gingiva) caused by bacteria.

The New Global Classification System For Periodontal And Peri Implant Diseases An Executive Summary For The Busy Dental Professional Oral Health Group
The New Global Classification System For Periodontal And Peri Implant Diseases An Executive Summary For The Busy Dental Professional Oral Health Group from media.oralhealthgroup.com
Gingivitis is mild form of gum infection which causes redness and swelling of the gums. Meaning of gingivitis in english. But while almost 80% of adults will experience some symptoms of gingivitis, that doesn't necessarily mean it's inevitable. Example sentences from the web for gingivitis. Gingivitis is mild gum disease. Gingivitis is a very common inflammatory condition of the gums that causes bleeding, especially on brushing or flossing. At this point the pathology is still reversible meaning that your dentist can easily revert the issue by professionally gingivitis is the inflammation of gums caused by bacterial infection. Inflammation of the gums or gingivae.

Untreated gingivitis usually progresses into the more serious stages of gum disease, which causes irreversible bone loss and potential tooth loss.

In severe cases, it can cause separation of your gums from the tooth. How to pronounce, definition audio dictionary. But not all gingivitis leads to periodontitis. Meaning of gingivitis in english. Gingivitis, or bleeding, inflamed gums, is the first stage of gum disease, usually caused by plaque buildup under the gumline. Gingivitis is the inflammation of the gums surrounding the teeth. This is more serious and can eventually lead to loss. Inflammation of the gums or gingivae. Regular checkups with a dentist and good oral hygiene at. These examples have been automatically selected and may contain sensitive content.read more… Meaning of gingivitis medical term. (pathology) inflammation of the gums or gingivae. Are the most common symptoms of gingivitis.

Gingivitis treatment can include proper dental hygiene, regular dental cleanings gingivitis is a clinical diagnosis gingivitis. Gingivitis (usually uncountable, plural gingivitides or gingivites).

Comments